
Cambridge Unibertsitateko ikerlariek sekula egin den gizakien bular-zelulen bilduma handiena sortu du, eta honi esker bularreko minbizia prebenitu ahal izateko datu berriak jaso dituzte.
BRCA1 eta BRCA2 geneen mutazioak iragartzen dituzten zelula aldaketa goiztiarrak antzeman dituzte. Gizaki orok ditu geneok, baina horietan mutazioak agertzeak bularretako eta obarioetako minbizia izateko arriskua handitzen dute.
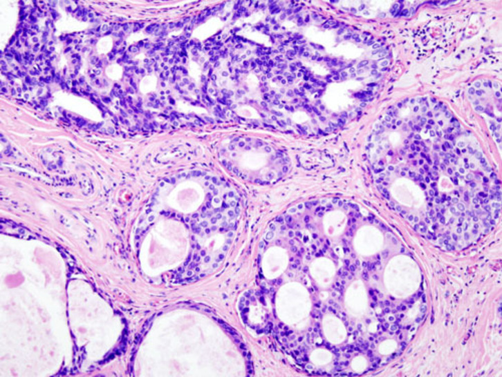
Ikerketak erakutsi duenez, pertsona osasuntsuen bular-sareko zelula immunitarioek, BRCA1 edo BRCA2 geneen mutazio-eramaileak direnean, «akidura» esaten zaion funtzionamendu txarreko zeinuak dituztela.
Honek iradokitzen du zelula inmunitarioek ezin dituztela ezabatu kaltetutako bular-zelulak eta, beraz, bularreko minbizia eragin ditzateke gerora, Cambridgeko Unibertsitateak ohar batean azaldu duenez.
Nature Genetics aldizkarian aurkeztu den ikerketa honek inmunoterapiara bideratutako medikamentuak erabiltzeko aukera irekitzen du, mutazioa duten geneek minbizia garatu dezaten ekiditeko.
Prebentzioko prozedura hau arratoiekin probatuko dute ikertzaileek, eta funtzionatzen badu, entsegu klinikoa egingo dute gizakiekin. «Gure emaitzek iradokitzen dutenez, BRCA mutazioak dituztenen artean, sistema inmunitarioak ez du lortzen kaltetutako bular-zelulak ezabatzea», esplikatu du Walid Khaled ikerlariak.
Hala, aurkikuntzak bidea irekitzen du, etorkizunean, kirurgia beharrik gabe tratamendu prebentiboak erabiltzeko. Egun badira immunitate-zelulen funtzioaren blokeo hori gainditzeko gai diren botikak, baina orain arte gaixotasunaren fase aurreratuetarako bakarrik onartu dira.
Bularra erauztean datzan arriskua gutxitzeko itua duen kirurgia, berriz, bularreko minbizia garatzeko arrisku gehien duten pertsonekin egiten da.
Bilduma erraldoia
«Bularreko minbizia prebenitzeko modurik onena da nola garatzen den ulertzea», zehaztu du Khaled-ek. Hala, bular-zelulen atlasa egiteko, adin desberdinetako 55 emakumeren bularretako ehun osasuntsuetako laginak hartu zituzten eta 800.000 zelula baino gehiago katalogatu zituzten, bular-zelula mota guztietakoak.
Orain, gizakien bular-zelulen atlasik handiena ikertzaileen eskura dago, hauek erabili edo handiagotu dezaten. Bularreko minbiziaren arrisku-faktoreen inguruko informazio ugari jasotzen du, eta Austin Reed ikertzailearen arabera, jakin ahal izan dute «adinarekin eta haurdunaldiarekin aldatzen diren bular-zelula mota asko» daudela. Halako eta bestelako efektuen nahasketak zehazten du zein den bularreko minbizia garatzeko arriskua.
Bularreko minbiziak aurkezten duen erronka handienetako bat da ez dela soilik gaixotasun bat, asko baizik. Aldaketa genetiko desberdinek eragin dezakete, eta arrisku genetikoak beste arrisku-faktore batzuekin elkar eragiten du.
Adibidez, jakina da bularreko minbizia izateko aukera handitu egiten dela adinarekin, baina arrisku hau nabarmen gutxitzen da gazte izandako haurdunaldi batekin.

La adicción a la pregabalina no para de crecer en los márgenes

Expectación tras hallarse un planeta similar en tamaño y órbita a la Tierra

Osakidetza administró otros dos tipos de vacunas caducadas; la Fiscalía abre diligencias

Sospechan que el videoportero de Amazon, presente en Euskal Herria, pasa datos al ICE

